Sergey Kislyak has officially ended his tenure as Russia’s ambassador to the US Sergey Kislyak has officially ended his tenure as Russia’s ambassador to the US Business Insider Kislyak going back to Russia, embassy says The Hill Trump-Russia: Did US Election Interference Allegations Cost Russian Ambassador His Job? Newsweek Full coverage Seguir leyendo → 23 JUL 0
Cops remember Detroit 1967 riot, racial divide that persisted Cops remember Detroit 1967 riot, racial divide that persisted MLive.com Full coverage Seguir leyendo → 23 JUL 0
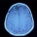
Glioblastoma: New tools against brain cancer Glioblastoma: New tools against brain cancer CBS News McCain’s Primary Challenger Calls on Him to Step Aside After Brain Cancer Diagnosis Slate Magazine (blog) Meghan McCain tweets photo of ‘amazing hike with dad’ after senator’s brain-cancer diagnosis USA TODAY McCain’s primary rival urges him to step aside after diagnosis — and suggests she could replace him Washington Post Why cancer is not a war, fight, or battle CNN Full coverage Seguir leyendo → 23 JUL 0
When the 1967 Detroit riot came home When the 1967 Detroit riot came home Salon Full coverage Seguir leyendo → 23 JUL 0
Scaramucci promises ‘dramatic action’ to stop White House leaks Scaramucci promises ‘dramatic action’ to stop White House leaks The Hill Scaramucci: New White House communications strategy needed Politico New White House communications director: Trump is still not sure Russia interfered in the election Business Insider Trump’s New Message Man Is A Harvard-Educated Former Wall Streeter With Humble Roots NPR The Mooch and the Mogul New York Times Full coverage Seguir leyendo → 23 JUL 0